تقول إحدى شركات التكنولوجيا الحيوية ضمن اختبار مهم لمجال طب الخلايا الجذعية، إن زرع العصبونات المصنوعة في المختبر في أدمغة 12 شخصاً مصاباً بداء باركنسون يبدو آمناً وربما أدى إلى تخفيف شدة الأعراض لدى بعضهم.
يُفترض أن تفرز الخلايا المضافة الناقل العصبي الذي يحمل اسم "الدوبامين" والذي يؤدي النقص في نسبته إلى ظهور الأعراض الوخيمة لداء باركنسون؛ مثل المشكلات الحركية.
تقول طبيبة الأعصاب في جامعة كاليفورنيا في إيرفاين والمؤلفة الرئيسة للدراسة التي أُجريت فيها التجربة السابقة الذكر، كلير هينشكلِف: "يتمثّل الهدف في أن تشكّل هذه الخلايا الوصلات العصبية وتعمل مع الخلايا الأخرى كما لو كانت من الجسم نفسه. ما يثير الاهتمام للغاية في هذه التجربة هو أنه يمكننا زرع هذه الخلايا التي تستطيع العمل مع الجسم المضيف".
استخدام تكنولوجيا الخلايا الجذعية الجنينية
هذه الدراسة هي أحد أكبر الاختبارات وأكثرها تكلفة حتى الآن لتكنولوجيا الخلايا الجذعية الجنينية، وهو النهج الشهير والمثير للجدل الذي يتضمن استخدام الخلايا الجذعية المستخرجة من الأجنّة المخصّبة في الأنابيب لتشكيل الأنسجة وأعضاء الجسم البديلة.
رعت هذه التجربة الضيقة النطاق التي هدفت إلى إثبات أمان هذا النهج، شركة بلو روك ثيرابيوتكس؛ وهي شركة تابعة لشركة الأدوية العملاقة باير. استخدم الباحثون الخلايا الجذعية المتعددة الاستخدامات المستخرجة من جنين بشري خُصّب أنبوبياً لتشكيل هذه العصبونات البديلة.
ووفقاً للبيانات التي قدمتها هينشكلف وآخرون في 28 أغسطس/ آب 2023 في المؤتمر الدولي لداء باركنسون واضطراب الحركة في مدينة كوبنهاغن؛ يبدو أيضاً أن الخلايا المضافة بقيت على قيد الحياة وخففت الأعراض التي يعاني منها المرضى بعد عام واحد من العلاج.
اقرأ أيضاً: قهوتك الصباحية قد تقلل من احتمال إصابتك بمرضي ألزهايمر وباركنسون
زيادة في عدد الخلايا المفرزة للدوبامين
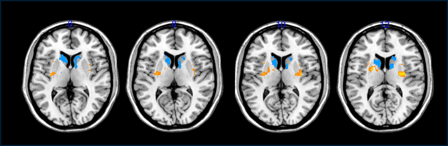
استُخلصت هذه المؤشرات التي تبيّن أن عمليات الزرع كانت مفيدة من عمليات مسح الدماغ التي بيّنت زيادة في عدد الخلايا التي تفرز الدوبامين في أدمغة المرضى وانخفاضاً في "فترة العجز"؛ وهي عدد الساعات اليومية التي يشعر فيها المتطوعون بأنهم عاجزون بسبب الأعراض التي يعانونها.
مع ذلك، أعرب خبراء آخرون عن ضرورة توخّي الحذر في تفسير النتائج الجديدة، قائلين إنها تُظهر تأثيرات غير متسقة قد ينتج بعضها من تأثير الدواء الوهمي (البلاسيبو) وليس العلاج.
يقول الباحث الذي يدرس داء باركنسون في جامعة كامبريدج، رودجر باركر: "من المشجّع أن التجربة لم تُثر أي مخاوف تتعلق بالسلامة، وأن هذه الخلايا قد تقدّم بعض الفوائد". لكن باركر وصف الأدلة التي بيّنت بقاء الخلايا المزروعة على قيد الحياة بأنها "مخيبة للآمال بعض الشيء".
يتحقق الباحثون من بقاء الخلايا المزروعة على قيد الحياة من خلال حقن مادة مشعة سلف للدوبامين ثم مراقبة معدل امتصاصها في أدمغتهم باستخدام ماسح التصوير المقطعي بالإصدار البوزيتروني؛ وذلك لأنهم لا يستطيعون رؤية هذه الخلايا مباشرة بمجرد زرعها في أدمغة المرضى. بالنسبة إلى باركر؛ لم تكن هذه النتائج رصينة للغاية، وهو يقول إنه "ما يزال من السابق لأوانه معرفة" ما إذا كانت الخلايا المزروعة نجحت في ترميم التلف في أدمغة المرضى.
اقرأ أيضاً: ما القيود التي أخّرت الباحثين عن تطوير العلاجات المعتمدة على الخلايا الجذعية؟
التعقيدات القانونية
عُزلت الخلايا الجذعية الجنينية لأول مرة في عام 1998 في جامعة ويسكونسن من أجنة شُكّلت في عيادات الإخصاب الاصطناعي. هذه الخلايا مفيدة بالنسبة للعلماء لأنه يمكن إنماؤها في المختبر، ولأنه يمكن من الناحية النظرية تحفيزها لتشكيل أي نوع من أنواع الخلايا البالغ عددها 200 نوع أو نحو ذلك في جسم الإنسان؛ ما دفع العلماء إلى محاولة استخدامها في استعادة البصر وعلاج داء السكري والإصابات في النخاع الشوكي.
مع ذلك، لم يتمكن العلماء حتى الآن من تطوير علاج طبي يعتمد على الخلايا الجذعية الجنينية، على الرغم من أن الحكومات والشركات أجرت الأبحاث التي كلّفت مليارات الدولارات على مدى عقدين ونصف من الزمن. الدراسة الجديدة التي رعتها شركة بلو روك هي واحدة من المحاولات المهمة لتغيير ذلك،
وما يزال مجال البحث في الخلايا الجذعية يثير مسائل حساسة في ألمانيا حيث يقع المقر الرئيس لشركة باير. ما يزال استخلاص الخلايا الجنينية من الأجنة جريمة يُعاقب عليها بالسجن بموجب قانون حماية الأجنة الألماني؛ وهو أحد أكثر القوانين تقييداً في العالم.
مع ذلك، يسمح هذا القانون في ظروف معينة باستخدام إمدادات الخلايا الجذعية المستخلصة مسبقاً من الأجنة خارج ألمانيا، وذلك بشرط أنها استُخلصت قبل عام 2007. يقول الرئيس والمدير التنفيذي لشركة بلو روك، سيث إتينبرغ، إن الشركة تشكّل العصبونات في الولايات المتحدة وتستخدم الخلايا الجذعية الجنينية من المخزون الأصلي في ولاية ويسكونسن لفعل ذلك، وهو مخزون يُستخدم على نطاق واسع حتى الآن.
قالت المتحدثة باسم شركة باير، نوريا أيغوابيلا فونت، في رسالة بالبريد الإلكتروني لإم آي تي تكنولوجي ريفيو: "نُجري عمليات شركة بلو روك جميعها على نحو متوافق مع المعايير الأخلاقية والقانونية الرفيعة التي ينص عليها قانون حماية الأجنة الألماني؛ وذلك لأن الشركة لا تستخدم الأجنة البشرية على الإطلاق".
اقرأ أيضاً: هل يُعتبر تحفيز الدماغ عملية توغليّة؟
تاريخ طويل
تعود فكرة استبدال الخلايا المفرزة للدوبامين بهدف علاج داء باركنسون إلى ثمانينيات القرن العشرين، عندما اختبر الأطباء هذه الفكرة باستخدام العصبونات الجنينية التي جُمعت بعد عمليات الإجهاض. تَبيّن أن هذه الدراسات كانت إشكالية، فعلى الرغم من أن بعض المرضى استفاد، أثارت التجارب الجدل بعد أن عانى آخرون آثاراً جانبية "كارثية" مثل الالتواء والارتعاش الخارجَين عن السيطرة.
لم يكن استخدام الخلايا الدماغية المستخلصة من الأجنة مشكوكاً فيه من الناحية الأخلاقية بالنسبة إلى البعض فحسب؛ بل اقتنع الباحثون بأن هذه الأنسجة متنوعة للغاية ويصعب تشكيلها لدرجة تمنعها من أن تتحول إلى علاج معياري. تقول هينشكلف: "أُجري الكثير من تجارب زرع الخلايا أو أجزاء الأنسجة في الأدمغة، ولم يكن أي منها ناجحاً، وأعتقدُ أن الباحثين لم يفهموا آلية عمل هذه الخلايا في الماضي، وعانوا نقصاً في عدد الخلايا التي يمكن التحكّم في جودتها".
مع ذلك، ظهرت أدلة تبيّن أن الخلايا المزروعة يمكن أن تبقى على قيد الحياة بعد زرعها. أظهرت فحوصات ما بعد الوفاة التي أُجريت على المرضى الذين عولجوا بالخلايا الجنينية أن الغرسات ظلت موجودة بعد سنوات عديدة. تقول إحدى مؤسسي شركة آسبن نيوروساينس، وهي شركة متخصصة في الخلايا الجذعية تخطط لإجراء الاختبارات المتعلقة بداء باركنسون، جين لورنغ: "أسهم الكثيرون في جهود زرع الخلايا الجنينة، وأرادوا معرفة ما إذا كان من الممكن أن تنجح عمليات الزرع لو أُجريت على النحو الصحيح".
اقرأ أيضاً: التخلُّص من الخلايا الهَرِمة قد يكون مفيداً للدماغ
اكتشاف الخلايا الجذعية الجنينية هو ما جعل إجراء الاختبارات الأدق ممكناً، ويمكن إكثار هذه الخلايا وتحويلها إلى مليارات الخلايا التي تركّب الدوبامين.
أجرى الباحث في جامعة كولومبيا، لورينز ستودر، الأبحاث الأولية لتشكيل الخلايا القادرة على إفراز الدوبامين، بالإضافة إلى أنه أجرى الاختبارات الأولية على الحيوانات، وقد أصبح ستودر في عام 2016 المؤسس العلمي لشركة بلو روك التي كانت في البداية مشروعاً مشتركاً بين شركة باير وشركة الاستثمار فيرسانت فينتشرز.
تقول هينشكلف التي شاركت في هذه الجهود المبكرة: "كانت تلك إحدى المرات الأولى التي استخدمنا فيها منتجاً موحداً ومفهوماً جيداً في هذا المجال". اشترت شركة باير شركةَ فيرسانت في عام 2019، في صفقة قُدّرت فيها قيمة شركة الخلايا الجذعية بنحو مليار دولار.
اقرأ أيضاً: ما حقيقة الشرائح الإلكترونية التي تُزرع في الدماغ؟
اضطراب الحركة
تموت الخلايا التي تركّب الدوبامين نتيجة الإصابة بداء باركنسون؛ ما يؤدي إلى انخفاض نسب هذه المادة الكيميائية في الدماغ. يمكن أن يتسبب ذلك بالارتعاشات وتصلّب الأطراف وانخفاض عام في القدرة على الحركة يحمل اسم بطء الحركة. يتطوّر داء باركنسون ببطء عادة، وتُمكن السيطرة على الأعراض لسنوات باستخدام دواء يحمل اسم "ليفودوبا" (levodopa). يمكن أيضاً التخفيف من شدّة الأعراض باستخدام غرسة دماغية تحمل اسم "محفزة الدماغ العميق". مع ذلك، هذا المرض تصاعدي، ولن ينفع دواء ليفودوبا في السيطرة على الأعراض في النهاية.

قال الممثل مايكل جيه فوكس لشبكة سي إن إن في عام 2023 إنه تقاعد من التمثيل نهائياً بعد أن فقد القدرة على تذكّر نصوص أدواره، على الرغم من أن ذلك حدث بعد 30 عاماً من تشخيص إصابته بداء باركنسون. قال جيه فوكس لشبكة سي إن إن: "لن أموت؛ ولكن حياتي أصبحت أصعب، وكل يوم أصعب من الذي سبقه".
يتمثّل الجانب الواعد للعلاج بالخلايا الجذعية في أن الأطباء لن يخففوا شدة الأعراض فحسب؛ بل قد يتمكّنون من استبدال شبكات الدماغ التالفة من خلال إضافة عصبونات جديدة.
يقول إتينبرغ: "لا تتمثّل إمكانات الطب التجديدي في تأخير المرض فحسب بل في تجديد وظائف الدماغ أيضاً. سيأتي يوم نأمل فيه ألا يعتبر الناس أنفسهم مرضى مصابين بداء باركنسون".
اقرأ أيضاً: قطب كهربائي داخل الدماغ لإصلاح الذاكرة يفتح آفاقاً جديدة لعلاج ألزهايمر
يقول إتينبرغ أيضاً إن شركة بلو روك تخطط لإجراء دراسة أوسع تحتوي على عدد أكبر من المرضى في عام 2024؛ وذلك لتحديد ما إذا كان العلاج ناجحاً وما مدى نجاحه.