يراقب العالم بفزع بينما تكافح الصين لاحتواء الفيروس الجديد الخطير، الذي أصبح يُطلق عليه الآن اسم "فيروس كورونا 2 المرتبط بالمتلازمة التنفسية الحادة الشديدة" أو اختصاراً SARS-CoV-2. أدى هذا الفيروس إلى فرض حجر صحي على مدن بأكملها، كما فرضت الولايات المتحدة حظراً شاملاً على المسافرين القادمين من الصين. ويسعى مسؤولو الصحة إلى فهم كيفية انتقال الفيروس وكيفية علاج المرضى.
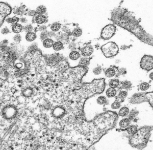
ولكن في أحد مختبرات جامعة كارولاينا الشمالية، هناك سباق من نوع آخر. إذ يحاول الباحثون إنشاء نسخة من الفيروس من الصفر. بقيادة رالف باريك، الخبير في فيروسات كورونا (والتي تعني الفيروسات التاجية باللغة العربية، ويأتي اسمها من النتوءات ذات الشكل التاجي التي تستخدمها لدخول الخلايا البشرية)، من المتوقع أن يقوم فريق جامعة كارولاينا الشمالية بإعادة إنشاء الفيروس انطلاقاً من القراءات الحاسوبية لتسلسله الجيني الذي تم نشره على الإنترنت من قبل المختبرات الصينية الشهر الماضي.
إن القدرة الرائعة على "إنشاء" الفيروسات من التعليمات الجينية أصبحت ممكنة بفضل الشركات التي تقوم بتصنيع جزيئات الحمض النووي المخصصة، مثل شركات إنتجريتد دي إن إيه تكنولوجي (Integrated DNA Technology)، وتويست بيوساينس (Twist Bioscience)، وأتوم (Atum). فمن خلال طلب الجينات الصحيحة، التي تبلغ تكلفتها بضعة آلاف من الدولارات، ومن ثم تجميعها مع بعضها لإنشاء نسخة من جينوم فيروس كورونا، يمكن حقن المادة الجينية في الخلايا والبدء بتنشيط الفيروس لتدبّ الحياة فيه.
وقد تم إثبات القدرة على إنتاج فيروس قاتل من الحمض النووي المرسَل عن طريق البريد لأول مرة منذ 20 عاماً. ومن ناحية القلق من الإرهاب البيولوجي، يكفي أن تراقب الشركاتُ بعناية عمليات الطلب التي تجري، لمعرفة الجهات التي تجريها، وما هي الجينات التي تطلبها. لكنها أيضاً طريقة مهمة للاستجابة لتفشي المرض بشكل مفاجئ، لأن طرق إعداد الفيروسات الاصطناعية تمنح الباحثين وسائل قوية لدراسة العلاجات واللقاحات وكيف يمكن للطفرات أن تجعلها أكثر خطورة.
عندما يكون الفيروس الاصطناعي أفضل من الفيروس الحقيقي
سبق لمختبر باريك -المتخصص في هندسة الفيروسات بجامعة كارولينا الشمالية- أن احتدم بالنقاش مع الوكالات في واشنطن بشأن عملٍ تضمّن اصطناع فيروسات كورونا جديدة لم تُشاهد من قبل ويمكن أن تصيب الفئران. ففي عام 2014، جمّدت المعاهد الأميركية الوطنية للصحة تمويل العديد من المختبرات، بما فيها مختبر باريك، بسبب مخاوف من أن مثل هذه الأبحاث تمثّل خطورة كبيرة. وتمت إعادة التمويل في وقت لاحق.
بالنسبة للفيروس الذي نشأ من الصين، قال باريك في مقابلة عبر الهاتف إن فريقه قام بتقديم طلب لحمض نووي مطابق من إحدى الشركات المصنّعة الشهر الماضي. وكانت خطوتهم الأولى هي البحث عبر الإنترنت في التسلسلات الجينية للفيروس. ثم قارنوا بين عدة تسلسلات متاحة، والتي تختلف اختلافاً طفيفاً، واختاروا نسخة "تم التوافق عليها" لتصنيعها.
عندما يحصل باريك على الحمض النووي، وهو أمر قد يستغرق شهراً من الزمن، فإنه يعتزم حقن التعليمات الجينية في الخلايا. إذا سارت الأمور كما هو مخطط لها، فينبغي أن تبدأ الخلايا بصنع جزيئات فيروسية حقيقية مُعدية.

مراكز السيطرة على الأمراض
من خلال إعدادهم فيروساتهم الخاصة بهم، يمكن للعلماء أن يحصلوا على الفيروسات حتى لو لم يتمكنوا من الحصول عليها من بلد ما بشكل مباشر، وخاصة تلك المسؤولة عن انتشار الوباء. ويقول باريك إن عينات الفيروس الحي المأخوذة من المرضى لم تتوافر من الصين على نطاق واسع حتى الآن. ويضيف: "هذا هو المستقبل من حيث كيفية استجابة مجتمع الأبحاث الطبية لتهديد جديد".
يجب أن يكون الفيروس الحقيقي والفيروس الاصطناعي متطابقين بشكل أساسي. لكن يقول تيموثي شيهان، الباحث الذي يعمل مع باريك في جامعة كارولاينا الشمالية، بالنسبة للنسخة الاصطناعية، "فإنه يكون لدينا نسخة من الحمض النووي يمكن أن نعود إليها مراراً وتكراراً، لإعداد فيروسات متطابقة جينياً". انطلاقاً من هذه النسخ، يمكن للعلماء إزالة بعض الجينات وإضافة أخرى، ومعرفة أشياء مثل أسباب انتشار الفيروسات وكيفية وصولها إلى الخلايا البشرية. يريد شيهان تجربة إصابة الفئران بالفيروس وإعطائها العديد من الأدوية المختلفة لمعرفة ما الذي يوقفه.
قد تساعد النسخ الاصطناعية أيضاً العلماء في معرفة المسار غير المتوقع للوباء. يقول ستانلي بيرلمان، عالم الأحياء المجهرية الذي يعمل على فيروسات كورونا في جامعة أيوا: "أخشى أن يتعرّض هذا الفيروس للطفرات خلال الوباء، وهذا من شأنه أن يسمح لي بدراسة الآثار التي ستحدثها تلك الطفرات". ويضيف: "إن الفيروس الاصطناعي هو مجرد بديل عن الفيروس الحقيقي، لكن مع وجود نسخة من الحمض النووي، يمكنك تعديله والعثور على نقاط الضعف وتطوير علاج".
خلال موجات التفشي السابقة، كان على العلماء الانتظار لشهور أو سنوات لدراسة الفيروس المسبب للوباء. ولكن مع فيروس كورونا المستجد، استغرق الأمر عدة أسابيع فقط حتى تم نشر تسلسله الجيني على الإنترنت. بدأ بعض العلماء على الفور بتحليل البيانات الجينية، ومقارنتها بالفيروسات الموجودة عند الخفافيش والثعابين وآكلات النمل، وخلصوا إلى أنه ربما بدأ بالانتشار في شهر نوفمبر الماضي.
وسرعان ما بدأت شركات التكنولوجيا الحيوية والحكومات والجامعات بطلب نسخ فعلية من جينات معينة موجودة في الفيروس. تقول الشركات المصنّعة للحمض النووي إنها واجهت سيلاً من الطلبات بخصوص أجزاء من الفيروس، بما فيها تلك المفيدة في التحقق من فحوصات التشخيص وغيرها اللازمة لصنع لقاحات محتملة.
يقول آدم كلور، المدير التقني للبيولوجيا الاصطناعية في شركة IDT التي تتخذ من أيوا مقراً لها وتعدّ إحدى أكبر الشركات التي تبيع الحمض النووي في العالم: "لقد حدث تداول كبير جداً منذ أن تم نشر الجينوم". ويضيف: "إنها أولوية قصوى. هناك عدد من المؤسسات التي تكرّس كل طاقاتها تقريباً في العمل على طرق الكشف عن الفيروس أو لقاحاته".
ومع ذلك، لا يحتاج معظم الباحثين سوى إلى جين أو اثنين من الفيروس لمواصلة العمل على الاختبارات واللقاحات. وإن مختبر باريك في جامعة كارولاينا الشمالية هو الوحيد في الولايات المتحدة المعروف بمحاولته إعادة إنشاء الفيروس بالكامل من أجزاء الحمض النووي التي تم طلبها.
كيف يمكن منع وصول الفيروسات القاتلة إلى الأيدي الخطأ؟
في أوائل العقد الأول من القرن الحادي والعشرين، أوضح العلماء لأول مرة أن شرائط الحمض النووي الاصطناعية يمكن استخدامها "لإحياء" الفيروسات انطلاقاً من شفرتها الجينية. إذ قام فريق من جامعة ولاية نيويورك بذلك مع فيروس شلل الأطفال، حيث تم إنتاج مواد مُعدية من الحمض النووي الذي طلبوه عبر الإنترنت.
أدت هذه التقنية على الفور إلى إثارة مخاوف من الأسلحة البيولوجية. ماذا لو استخدم الإرهابيون هذه التقنية لنشر الجدري؟ لم يحدث ذلك، لكنه يعني الآن أنه من غير الممكن فعلاً القضاء على فيروسات مثل شلل الأطفال والجدري، وحالياً فيروس كورونا الصيني. أعاد الباحثون في المراكز الأميركية للسيطرة على الأمراض والوقاية منها (ما يعرف اختصاراً باسم CDC) إثارة تلك النقطة في عام 2005 عندما قاموا بإحياء فيروس الأنفلونزا الذي أودى بحياة عشرات الملايين في عامي 1918-1919.
ولإبقاء هذه التقنية بعيدة عن متناول الأشرار، قامت الشركات التي تصنع الحمض النووي بالاتحاد مع بعضها قبل بضع سنوات لتقييد الوصول إلى الجينات الخطرة. فقد وافقت جميع الشركات الكبرى في الولايات المتحدة على مقارنة طلبات الحمض النووي الواردة بقاعدة بيانات تضم حوالي 60 فيروساً وسمّاً قاتلاً تسمى "قائمة العوامل المختارة" بحيث لا تتمكّن سوى المختبرات المرخصة من الحصول على الحمض النووي اللازم لإحيائها.

مراكز السيطرة على الأمراض
بناءً على طلبنا، قامت شركة باتيل Battelle، وهي شركة علمية للبحث والتطوير يستطيع برنامجها الذي يسمى ThreatSEQ القيام بهذه المقارنات، بإجراء سيناريو يحاول فيه أحد الأشخاص أن يطلب نسخة من فيروس كورونا المستجد. ووفقاً لكريج بارتلينج، عالِم الأبحاث البارز في شركة باتيل، فقد قام البرنامج بالإشارة إلى كامل الفيروس ومعظم جيناته المنفردة على أنها "ضمن أعلى مستوى تهديد". ويقول بارتلينج إن الإنذارات انطلقت لأن هذا الفيروس يشبه إلى حد كبير فيروس السارس الأصلي القريب منه، والذي أدى إلى اندلاع وباء عالمي في عام 2002.
ويُعتبر البحث في الفيروس الجديد محفوفاً بالمخاطر لدرجة أن الشركات المصنعة للحمض النووي سارعت إلى الاجتماع مؤخراً وإعداد سياسة بشأن مَن ينبغي أن يتمكّن من شراء نسخ كاملة من جينوم الفيروس الجديد. وفي بيان صدر في 11 فبراير، اتخذت المجموعة التجارية التي تسمى بالتحالف الدولي لاصطناع الجينات موقفاً حذراً. إذ قالت إنها ستتعامل مع الفيروس الصيني الجديد كما لو أنه فيروس سارس، والذي تمت إضافته إلى قائمة العوامل المختارة في عام 2012، كما تراقب الحكومة الأميركية حيازته عن كثب.
وهذا يعني أن أي شخص يرغب بالحصول على نسخة اصطناعية كاملة من فيروس كورونا المستجد، يلزمه الخضوع إلى "تدقيق محدد ومفصل" وإثبات أنه مسجل بالفعل من قبل مراكز السيطرة على الأمراض للعمل على فيروس سارس، كما هو الحال مع الباحثين في جامعة كارولاينا الشمالية.
ومع ذلك، فإن الشركات التي تصنع الحمض النووي لا تزال لديها حرية التصرف بشأن ما تبيعه ولمن، ولا تعتقد جميعها بأنها ينبغي أن تصنع الجينوم الكامل لهذا الفيروس. يقول كلايس غوستافسون، المؤسس والرئيس التجاري لشركة أتوم Atum المصنّعة للحمض النووي في كاليفورنيا، إنه حصل على طلبات من ثماني شركات للحصول على أجزاء من جينوم الفيروس ووافق شخصياً على طلب من إحدى الوكالات الحكومية الأميركية لصنع 90٪ من جيناته، وذلك على الأرجح لإعداد نسخة مخففة (أي غير ضارة) منه.
ويقول غوستافسون: "يريدون على الأرجح معرفة كيفية صنع لقاح بأسرع وقت ممكن". ويضيف: "لكن إذا أراد شخص ما تصنيع كل الفيروس، فلن أقوم بذلك. هناك بعض الفيروسات، مثل فيروس شلل الأطفال، التي لا يرغب أحد في تصنيعها، بغض النظر عمن يطلب ذلك."

كلية جيلينجز للصحة العامة بجامعة كارولينا الشمالية
ولا يعتقد الجميع أن اصطناع فيروس كورونا المستجد هو أمر خطير للغاية. يقول نيكولاس جي إيفانز، الذي يدرس التهديدات الحيوية في جامعة ماساتشوستس في لويل: "لا أرى حقاً قدراً كبيراً من المخاطرة". ويضيف: "في الوقت الحالي، يقضي الكثير من الناس الكثير من الوقت لمعرفة آلية عمل فيروس كورونا المستجد. أعتقد أن الفوائد تفوق المخاطر".
وقد تسبب الوباء، الذي يبدو أنه بدأ من سوق للحيوانات الحية في مدينة ووهان، بأكثر من 64,000 حالة إصابة و1,350 حالة وفاة في الصين بحلول 14 فبراير، لذلك فهو أسوأ من فيروس سارس، الذي أدى إلى مقتل 774 شخصاً.
ومع ذلك، لم تعلن الولايات المتحدة بعد أن الفيروس الجديد هو ضمن قائمة العوامل المختارة. ووفقاً لباريك، فإن قرار إضافة فيروس جديد إلى القائمة الأكثر خطورة "لم يتم اتخاذه أثناء انتشار الوباء، لأنه يبطئ الأبحاث".
إخافة الناس
في الوقت الحالي، ليس هناك سوى عدد قليل جداً من المراكز المتطورة التي يمكنها تنشيط الفيروس، ولا يمكن للأفراد الذين يعملون من منازلهم أن يقوموا بذلك. يقول إيفانز: "لقد وصلنا إلى المرحلة التي يمكن أن يبدأ فيها النخبة بتصنيع هذا الفيروس الجديد بالتزامن مع تفشي الوباء. ولكن ذلك لا ينطبق إلا على عدد قليل من المختبرات". ويضيف: "لحسن الحظ، ما زلنا بعيدين عن المرحلة التي يستطيع فيها الكثير من الناس تصنيع أي شيء."
إن الحالة المتقدمة لأبحاث الفيروسات الاصطناعية والقدرة على تعديلها جينياً تغذي حتماً المخاوف ونظريات المؤامرة. إذ تمتلئ وسائل التواصل الاجتماعي وبعض مواقع المدونات بتكهنات لا أساس لها من الصحة عن أن الفيروس الجديد قد انتشر بطريق الخطأ من مختبر صيني للأسلحة البيولوجي يقع خارج مدينة ووهان. لا يوجد أي دليل على ذلك، والأدلة الجوهرية تشير إلى أن الأمر ليس كذلك، لكن الشائعة تسببت في شرخ دبلوماسي مع الصين بعد ترديدها في الكونجرس الأميركي من قبل السيناتور توم كوتون من ولاية أركنسا.
يقول باريك إنه لا يرى خطراً بشكل خاص على تصنيع الفيروس الجديد في هذه المرحلة من الوباء، لا سيما وأن الفيروس ما زال ينتشر بشكل طبيعي. الشيء المهم هو معرفة ما يفعله ومن ثم إيقافه. ويضيف: "سواء حصلت عليه من خلية أو قمت بتصنيعه، فإن النتيجة واحدة".