نسمع كل يوم عن استخدام جديد لتقنيات الذكاء الاصطناعي في قطاع الرعاية الصحية، بدءاً من تشخيص الأمراض إلى اكتشاف أدوية جديدة ووصولاً إلى تقديم الاستشارات الطبية ومراقبة المرضى.
ولعل استخدام الذكاء الاصطناعي في تشخيص الأمراض هو التوجه الأكثر تسارعاً والأكثر إثارة للاهتمام في هذا الصدد؛ حيث إن توافر حجم هائل من المعلومات الصحية والصور الطبية والتحاليل وتقارير الأطباء بصورة رقمية أتاح أهم عنصر تحتاجه نماذج الذكاء الاصطناعي للنجاح في سحرها، ألا وهو المجموعات الهائلة من البيانات الجاهزة للاستخدام في تدريب هذه النماذج.
ما فوائد استخدام الذكاء الاصطناعي في تشخيص الأمراض؟
يعد التشخيص الصحيح للأمراض مهمة شاقة ومستهلكة للوقت وتتطلب سنوات طويلة من التدريب الطبي. وهناك نقص كبير في خبراء التشخيص في العديد من الاختصاصات الطبية. وهذا ما يضع ضغوطاً كبيرة وحجماً هائلاً من العمل على كاهل الأطباء. أضف إلى ذلك التكاليف والصعوبات التي يواجهها المرضى للوصول إلى الأطباء المَهرة لتشخيص مرضهم بأسرع ما يمكن وربما إنقاذ حياتهم.
ومن شأن الذكاء الاصطناعي، وخصوصاً التعلم الآلي والتعلم العميق، أن يقدِّم فوائد كبيرة في التشخيص الآلي للأمراض بسرعة ودقة عالية. حيث تستطيع خوارزميات الذكاء الاصطناعي أن تتعلم كيفية اكتشاف الأمراض بنفس طريقة عمل الأطباء. وعلاوة على ذلك، تستطيع هذه الخوارزميات أن تتعلم بشكل مستمر لتحسين قدرتها على تشخيص الأمراض.
لكن خوارزميات التعلم الآلي تحتاج أولاً إلى حجم هائل من الأمثلة حتى تتمكن من التدرب عليها لاكتشاف علامات ومؤشرات وجود مرض معين. وبالتالي، فإن التعلم الآلي يثبت فائدته بشكل خاص عندما تكون معلومات التشخيص متاحة بهيئة رقمية، مثل صور الأشعة السينية والتصوير الطبقي المحوري والرنين المغناطيسي وصور الجلد والعينين. وتتميز خوارزميات التعلم العميق بإمكانية مطابقة الأنماط في الصور؛ إذ يمكن تدريبها على اكتشاف مختلف أنواع السرطانات في صور الأشعة المقطعية، والتمييز بين الأمراض في صور الرنين المغناطيسي، والكشف عن الشذوذات في صور الأشعة السينية.
ونظراً لتوافر الكثير من البيانات الجيدة في هذه الحالات، تسجل الخوارزميات مستوى جيداً من الأداء يضاهي الأطباء في تشخيص الأمراض مع فارق بارز؛ ألا وهو أن خوارزمية الذكاء الاصطناعي تستطيع التوصل إلى تشخيص للمرض في أجزاء من الثانية، ويمكن إعادة إنتاجها واستخدامها بتكلفة منخفضة في جميع أنحاء العالم. وبفضل الذكاء الاصطناعي، سيتمكن جميع الناس في المستقبل القريب من الوصول إلى نفس أداء أفضل الخبراء في تشخيص الأمراض بالاستناد إلى الصور الطبية وبتكلفة منخفضة وفي أي وقت.
تجدر الإشارة إلى أن تطبيقات الذكاء الاصطناعي في تشخيص الأمراض ما زالت في بداياتها. ويعمل العديد من الباحثين على تطوير الخوارزميات وزيادة دقتها والاعتماد على مصادر متنوعة للبيانات، مثل التسلسل الجيني والبيانات الصحية الشخصية والتقارير الطبية، بالإضافة إلى صور الأشعة لتشخيص إصابة المريض بمرض ما وتقييم مدى تقدمه ورسم أفضل خطة لعلاجه.
أهم الاستخدامات الحالية للذكاء الاصطناعي في تشخيص الأمراض
إليكم بعض الأمثلة على الاستفادة من الذكاء الاصطناعي في تشخيص الإصابة بالعديد من الأمراض:
1- تشخيص الإصابة بالسرطان
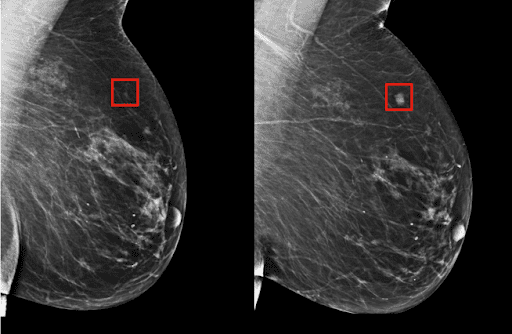
من المعروف أن اكتشاف السرطان في وقت مبكر يرفع فرص إمكانية الشفاء وإنقاذ حياة المريض؛ لذلك نشهد تنامي الاهتمام باستخدام تقنيات الذكاء الاصطناعي للكشف المبكر -بدقة وموثوقية- عن مختلف أنواع السرطان. ففي مطلع هذا العام، قامت شركتا ديب مايند وجوجل هيلث بتطوير نظام ذكاء اصطناعي جديد لمساعدة الأطباء على اكتشاف سرطان الثدي بشكل مبكر؛ حيث قام الباحثون بتدريب خوارزمية باستخدام صور ماموجرام تابعة للمرضى الإناث في الولايات المتحدة والمملكة المتحدة، وقدّمت هذه الخوارزمية أداءً أفضل من أداء خبراء الأشعة.
وفي العام الماضي، قام مجموعة من الباحثين في جوجل بتطوير خوارزمية ذكاء اصطناعي تغلبت على مجموعة من اختصاصيِّي الأشعة المتمرسين في مجال تشخيص سرطان الرئة. حيث قام الباحثون بتدريب خوارزميةَ تعلم عميق على اكتشاف العُقيدات الرئوية الخبيثة (المصابة بالسرطان) في أكثر من 42,000 فحص مقطعي محوسَب. وأسفرت التجارب عن اكتشاف الخوارزميات المدرّبة لنتائج إيجابية كاذبة بنسبة 11% أقل من اختصاصيِّي الأشعة البشر، ونتائج سلبية كاذبة بنسبة 5% أقلّ منهم أيضاً.
وفي 2018، وجدت دراسة أن الذكاء الاصطناعي تمكَّن من اكتشاف سلائل القولون المتخفية في أكثر من 90% من الحالات، التي يصعب على الأطباء اكتشافها قبل أن تتحول إلى سرطان.

مصدر الصورة: موقع إم آي تي
كما ابتكرت جامعة إم آي تي بولاية ماساتشوستس الأميركية نموذج ذكاء اصطناعي يستطيع التنبؤ بسرطان الثدي حتى 5 سنوات قبل حدوثه. ويعتمد هذا النموذج في عمله على تقنية التعلم العميق؛ حيث تمت تغذيته بحوالي 90,000 صورة للتصوير الإشعاعي للثدي تخص 60,000 مريض في مستشفى ماساتشوستس العام، مع النتائج المعروفة لهؤلاء المرضى بعد ذلك، فاستطاع النموذج أن يتعلم أنماطاً خفيةً في أنسجة الثدي اعتبرها مقدمةً لإصابته بالأورام الخبيثة.
2- تشخيص أمراض العين واعتلال الشبكية السكري
نجحت هيئة الصحة بدبي بالتعاون مع شركة أرتيلوس (Artelus) في تطوير برنامج قائم على الذكاء الاصطناعي لتشخيص مضاعفات داء السكري من خلال فحص العيون. وقد وصلت دقة البرنامج في تشخيص تلف الشبكية إلى 96%، بالمقارنة مع التشخيص البشري. ومن شأن برامج من هذا النوع أن توفر للمرضى نتائج فحوصهم بشكل أسرع وأكثر فعالية، ما يتيح للأطباء اكتشاف الإصابة في وقت مبكر، ويسهل عليهم علاج الحالة بنسبة نجاح أعلى. كما تعمل شركة إيه آي ريتينا (aiVista) -بتمويل من الاتحاد الأوروبي- على تطوير وتدريب خوارزميات ذكاء اصطناعي على صور الشبكية لتشخيص أمراض العين. وتقوم هذه الخوارزميات بتحليل الصور وإعطاء نتيجة التشخيص في أقل من ثانيتين وبدقة أعلى من 99%.
3- التشخيص التنبؤي بالفشل الكلوي
قام باحثون في مركز ديب مايند للصحة بابتكار نظام ذكاء اصطناعي يمكنه التنبؤ بالفشل الكلوي قبل حدوثه. وقد استخدموا عيّنة مكونة مما يزيد عن 700 ألف سجل من السجلات الصحية الإلكترونية مجهولة الهوية بهدف استخدام بياناتها في تدريب الخوارزمية. وقام النظام بفحص البيانات واستطاع التنبؤ بما إذا كان الشخص معرَّضاً لخطر الإصابة بالفشل الكلوي الحاد أم لا، وذلك قبل 48 ساعة من إصابته في 55.8% من الحالات. ووصلت هذه النسبة إلى 90.2% عند الحالات الخطرة التي كانت تتطلب التدخل وإجراء غسيل كلوي. وفي دراسة منشورة حديثاً في مجلة لانسيت، قام باحثون من معهد أبحاث العين في سنغافورة بتطوير خوارزمية تعلم عميق لتشخيص وجود فشل كلوي مزمن بالاعتماد على صور شبكية العين.
4- التشخيص المبكر لحالات فشل عضلة القلب
قام باحثون في مختبر علوم الحاسوب والذكاء الاصطناعي (CSAIL) التابع لإم آي تي بتطوير نموذج تعلم الآلي لفحص صور الأشعة السينية للصدر وتحديد وجود وذمة رئوية ومدى خطورتها. وتعد الوذمة الرئوية أحد أهم المؤشرات على فشل عضلة القلب. ونجح النموذج في مهمته بنسبة 90% من حالات الوذمة الخطيرة. وقد قام الباحثون بتدريب النموذج على أكثر من 300 ألف صورة أشعة سينية، بالإضافة إلى المعالجة اللغوية للتقارير النصية المصاحبة لها، التي كتبها خبراء الأشعة. ويخطط الفريق لإدماج هذا النظام في تدفق العمل في بعض المستشفيات خلال الأشهر القادمة.
5- تشخيص الإصابة بكوفيد-19
قام باحثون من كينجز كوليدج لندن بتطوير نموذج ذكاء اصطناعي قادر على التنبؤ باحتمال أن يكون الشخص مصاباً بكوفيد-19 بالاعتماد على مجموعة من الأعراض، أهمها فقدان حاستي الشم والتذوق. كما طوّر باحثون صينيون نموذج ذكاء اصطناعي يعتمد على التعلم العميق لاكتشاف الإصابة بفيروس كورونا في صور الصدر المقطعية المحوسبة. وقد تم استخدام ما يقارب 500 صورة مقطعية لمرضى من مختلف الأعمار ومن الجنسين في مرحلة تدريب الخوارزمية و131 صورة أخرى في مرحلة الاختبار. حققت خوارزمية التعلم العميق مؤشرات أداء جيدة جداً حيث بلغت دقتها 90.1%. وأشار الباحثون إلى أن الخوارزمية لم تستغرق سوى 1.93 ثانية لمعالجة صورة كل مريض باستخدام وحدة معالجة رسومية متخصصة.
كما قام باحثون من جامعة نيويورك بتطوير أداة مبنية على تقنيات الذكاء الاصطناعي من أجل تقديم تحليلٍ تنبؤي حول المرضى الذين قد يطورون مستقبلاً مضاعفاتٍ صحية خطيرة جرّاء الإصابة بمرض كوفيد-19.
تحديات ومستقبل استخدام الذكاء الاصطناعي في التشخيص الطبي
صحيح أن جميع الاستخدامات أعلاه مثيرة للتفاؤل والحماسة بشأن مستقبل الذكاء الاصطناعي في تشخيص الأمراض، إلا أنه ينبغي التعامل معها على أنها خطوات صغيرة في دربٍ ما زال ممتداً على مدى البصر أمام البشرية؛ وذلك لأن استخدام الذكاء الاصطناعي في قطاع الرعاية الصحية ما زال يواجه العديد من التحديات، منها تلك المرتبطة بالخصوصية، ومنها ما يتعلق بانخفاض جودة قواعد البيانات أو تحيزها.
ومع ذلك، فإن الذكاء الاصطناعي يحمل بلا شك فائدة كبيرة إلى مجال الرعاية الصحية وتشخيص الأمراض، خصوصاً في الأماكن عالية الأمراض أو منخفضة الموارد. غير أنه لا يزال أداة تشخيصية، ولا يزال بعيداً عن الوصول إلى نقطة مماثلة لكيفية عمل الأطباء البشر؛ لأن هذا النوع من الوظائف يعتمد بشكل كبير على التعاطف والتواصل، وهذا ما ما يفتقر إليه الذكاء الاصطناعي. ويعدّ التعاطف أداةً مهمة في حقل الرعاية الصحية؛ فالمريض الذي يخضع لتشخيص مرض السرطان مثلاً يحتاج إلى إمساك إنسان بيديه والتحدّث معه. هناك دائمًا علاقة بين الطبيب والمريض، وهذا يشكّل قيمة كبيرة للمريض؛ لأنه يرفع من معنوياته ويساعده على التمسّك بخطة العلاج. وعلى النقيض، لا يمتلك الذكاء الاصطناعي القدرة على بناء علاقة التعاطف هذه.
لذا من غير المرجح أن يحل الذكاء الاصطناعي محلّ الطبيب في تشخيص الأمراض في أي وقت قريب، وعوضاً عن ذلك، سيلعب دوراً داعماً من خلال تقديم إشارات ودلائل تساعد الطبيب على تفسير أعراض المريض وتسريع عملية التشخيص ووضع خطة العلاج في وقت مبكر.