ابتكرت جامعة إم آي تي بولاية ماساتشوستس الأميركية أداةً جديدة تستخدم الذكاء الاصطناعي في الفحص والتشخيص، ويمكنها التنبؤ بسرطان الثدي حتى 5 سنوات قبل حدوثه.
تفاصيل الخبر
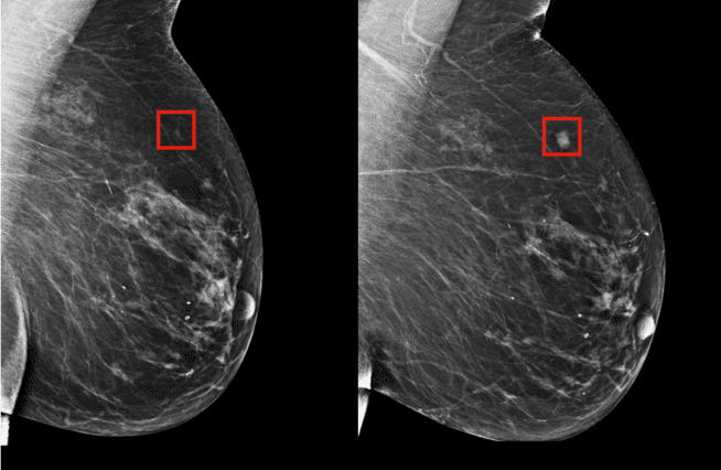
استطاع مختبر علوم الحاسوب والذكاء الاصطناعي التابع لجامعة إم آي تي بناءَ هذا النموذج القائم على تقنية التعلم العميق، وتغذيته ببيانات من مستشفى ماساتشوستس العام، حتى تمكَّن من توقُّع ما إذا كان الشخص سيصاب بسرطان الثدي أم لا. وبحسب ما نشرته الجامعة، فإن هذا النموذج أفضل من النماذج الأخرى بكثير في مسألة التنبؤ بالاعتماد على المخاطر الموجودة؛ حيث وصلت دقة توقعه للإصابة بهذا المرض في أخطر صوره إلى 31%، مقارنة بنسبة 18% للنماذج التقليدية.
وقد لاحظ الباحثون أن النماذج المماثلة لنموذجهم تتحيز في أغلب الأحيان إلى المرضى من ذوي البشرة البيضاء، في حين أن البيانات تقول إن النساء ذوات البشرة السمراء أكثر عرضة بنسبة 42% للإصابة بسرطان الثدي من ذوات البشرة البيضاء. ولهذا فقد اهتم الباحثون بتغذية هذا النموذج ببيانات "أكثر إنصافاً" لضمان عدم التحيز لإحدى فئات المرضى دون الأخرى.
آلية العمل
يعتمد هذا النموذج في عمله على تقنية التعلم العميق، حيث تمت تغذيته بحوالي 90,000 صورة للتصوير الإشعاعي للثدي تخص 60,000 مريض في مستشفى ماساتشوستس العام، مع النتائج المعروفة لهؤلاء المرضى بعد ذلك، فاستطاع النموذج أن يتعلم أنماطاً خفيةً في أنسجة الثدي اعتبرها مقدمةً لإصابته بالأورام الخبيثة.

وبالرغم من أن سرطان الثدي يُعتبر أكثر أنواع السرطانات شيوعاً عند النساء، إلا أن نسبة شفائه تكاد تكون 100% إذا تم اكتشافه مبكراً. ولهذا فإن هذا العمل يهدف إلى مساعدة أخصائيي الرعاية الصحية في أداء مهمتهم الخاصة بالكشف المبكر عن هذا المرض، كما تأمل الجامعة أن يتم استخدام هذه الأداة في تحسين الكشف عن الأمراض الأخرى.
ماذا أيضاً؟
في شهر مايو الماضي، قامت مجموعة من الباحثين لدى جوجل بتطوير خوارزمية استطاعت أن تتغلب على مجموعة من اختصاصيِّي الأشعة المتمرسين في مجال تشخيص سرطان الرئة. وأظهرت دراستهم أن تقنية "التعلم الآلي" بإمكانها يوماً ما أن تكتشف علامات سرطان الرئة في وقت أبكر.